Kindesmisshandlung: Untersuchung gibt Aufschluss zu Schütteltrauma bei Kindern
Berlin – Etwa 25 Prozent der Schädel-Hirn-Traumen bei Kindern sind Folge einer Misshandlung, bei den unter 2-Jährigen sind es sogar 75 Prozent. Doch nur bei einem Drittel der Fälle wird dies auch erkannt. Bei der Aufdeckung einer Kindesmisshandlung kommt der bildgebenden Diagnostik eine Schlüsselrolle zu: Denn mithilfe von Magnetresonanz- und Computertomografie (MRT, CT) können Diagnostiker oftmals unterscheiden, ob ein Schaden im Gehirn des Kindes durch Unfall oder Gewalt entstanden ist. Darauf weist die Deutsche Gesellschaft für Neuroradiologie (DGNR) hin. Schädel- und Hirnverletzungen unklarer Ursache bei Kleinkindern sollten deshalb stets auch von einem erfahrenen Neuro- oder Kinderradiologen beurteilt werden, so die DGNR.

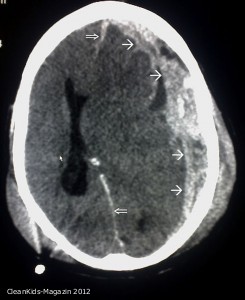
Ausgedehnte Blutung unter der harten Hirnhaut (subdurales Hämatom markiert durch Einzelpfeile) mit Verlegung des rechten Seitenventrikels und Verdrängung des Hirngewebes mit Mittelllinienverlagerung nach links (Doppelpfeile)
Rund 4000 Fälle von Kindesmisshandlung werden in Deutschland jährlich zur Anzeige gebracht. Doch Experten gehen von einer hohen Dunkelziffer aus: Die meisten Fälle von Gewalt gegen Kinder werden nie entdeckt. Knochenbrüche, Verbrennungen und blaue Flecke sind sichtbare Zeichen einer schweren Kindesmisshandlung. Oft nicht äußerlich erkennbar, aber umso gefährlicher, sind Verletzungen an Kopf und Gehirn. Von allen Folgen körperlicher Gewalt gegen Kinder enden sie am häufigsten tödlich oder mit bleibenden Behinderungen: 20 bis 25 Prozent der Opfer sterben daran, bis zu 70 Prozent der Überlebenden erleiden Langzeitschäden. „Das Schütteltrauma, eine Form des Schädel-Hirn-Traumas, ist eine der häufigsten Folgen nach Misshandlung. Meist müssen es Babys im Schreialter, also zwischen zwei und sechs Monaten, erleiden“, sagt Dr. med. Angelika Seitz, Oberärztin im Bereich Pädiatrische Neuroradiologie des Universitätsklinikums Heidelberg. Das Schütteltrauma entsteht, wenn das Kind am Brustkorb gehalten und massiv geschüttelt wird, wobei der kindliche Kopf unkontrolliert Schleuderbewegungen ausgesetzt ist.
Äußerlich hinterlässt eine solche Gewalteinwirkung meist keine Spuren. Die Symptome, die in seiner Folge auftreten, sind für den Laien häufig schwer zuzuordnen: Die Kinder sind schläfrig, geistig abwesend, sie erbrechen und bekommen Krampfanfälle. Die Hirnverletzungen zeigen sich erst in der Bildgebung – bei einer MRT-, Ultraschall-, oder CT- Untersuchung. „Die Schädigungen, die wir dann entdecken, variieren je nach Schwere des Schütteltraumas. Am häufigsten lassen sich Subduralhämatome, also Blutergüsse unter der Hirnhaut, oft mehrfach und dann unterschiedlichen Alters feststellen“, so Seitz. In 60 bis 95 Prozent der Fälle kommt es beim Schütteltrauma außerdem zu Netzhautblutungen, denn durch die beim Schütteln freigesetzten Schleuderkräfte reißen Blutgefäße in den Augen ein. „Die Kombination von sogenannten mehrzeitigen Subduralhämatomen und Netzhautblutungen ist typisch für das Schütteltrauma. Ein solches Verletzungsmuster ist bei Unfällen praktisch ausgeschlossen“, so Seitz. Ein Verdacht auf Misshandlung erhärtet sich, wenn die Bildgebung Misshandlungsspuren der Vergangenheit offenbart: Subduralhämatome sind im MRT-Bild oft mehrere Wochen, andere typische Verletzungsfolgen des Gehirns selbst durch Sauerstoffmangel oder Schwerverletzungen lebenslang sichtbar. Darüber hinaus kann die frühzeitig durchgeführte MRT eine durch Verletzungen hervorgerufene Störung des Sauerstoff-Kohlendioxid-Austausches in den Blutgefäßen feststellen. Eine schnelle Diagnose ist wichtig, um schwere Organschäden oder gar Tod zu verhindern.
Doch nicht jede Misshandlung habe diese typischen und eindeutigen Verletzungsmuster zur Folge, so die Expertin. „Je nach Schwere und Art der Gewalteinwirkung variieren die Verletzungsformen und sind oftmals schwer oder nur von einem Experten von Schädigungen durch einen Unfall abgrenzbar.“ Die Deutsche Gesellschaft für Neuroradiologie weist deshalb darauf hin, dass jedes Kind mit Schädel- Hirn-Verletzungen nicht eindeutiger Ursache stets von einem im Bereich der Misshandlungsverletzungen erfahrenen Kinder- und Neuroradiologen untersucht werden sollte.
Wenngleich der Verdacht Kindesmisshandlung nur in Zusammenhang mit einer körperlichen Untersuchung und der Befragung der Eltern geäußert werden dürfe, seien die Befunde der Bildgebung oft die eindeutigsten Belege für eine Kindesmisshandlung, so die DGNR. Versäumnisse und Unsicherheiten bei der Diagnose könnten deshalb schwerwiegende Konsequenzen haben – für das misshandelte Kind, aber auch für eventuell zu Unrecht beschuldigte Eltern.
Deutsche Gesellschaft für Neuroradiologie (DGNR)
www.neuroradiologie.de
[full]
[dhr]
![]()
LESEN SIE AUCH zu diesem ThemaHier erhalten Sie weitere Informationen zum gleichen Themenbereich
[dhr]
[posts-by-tag tags = „Kinder,Misshandlung“ exclude_current_post = „true“ number = „5“ ]
[/full]




